Dicas
Por que devo que usar Aparelhos de Contenção?
Antigamente, nós ortodontistas achávamos que, ao colocarmos os dentes em suas posições corretas, devolvendo um boa oclusão para o paciente, os dentes iriam ficar lá para sempre. Porém pesquisas nos últimos 30 anos têm mostrado que isso não é verdade – não há nenhuma posição “correta” que possa garantir um resultado permanente e imutável.
Na verdade, a maioria das pessoas (alguns estudos dizem que mais de 70%) verá mudanças em sua mordida e no alinhamento dos dentes à medida que envelhecem. As mudanças de desalinhamento dentário ocorrem ao longo da vida mesmo que já tenha realizado um tratamento ortodôntico. Para explicar isso, precisamos compreender que existem dois tipos de mudanças pós-tratamento ortodôntico.
Primeiro: pode haver uma tendência imediata de movimentação após o tratamento, levando os dentes de volta para suas posições originais. Isto porque o osso, ligamentos e os tecidos que estão localizados os dentes, têm “memória elástica”. Estudos mostram que essa tendência de recidiva(voltar a posição original) diminui gradualmente, embora possa ser um problema durante os primeiros 18 meses pós-tratamento. Por isso, é neceessário usar as contenções.
Segundo: acontece uma mudança mais lenta ao longo do tempo. Quando envelhecemos, a posição dos nossos dentes muda. Ou seja, da mesma forma que aparecem rugas de tecido mole no rosto, cabelos grizalhos, quando o tempo passa, também formam-se “rugas” nos dentes (apinhamento dentário).
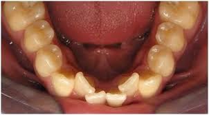
A boca diminui de volume e o arco dentário pode ficar mais estreito e curto, provocando a “ruga dos dentes”. Esse fenômeno é bem mais evidente nos dentes anteriores inferiores.

Não importa se você passou por um tratamento ortodôntico na sua adolescência ou na idade adulta (ou ambos), o tratamento ortodôntico não irá impedir qualquer fenômeno que acabei de descrever.
A única maneira de manter estável o alinhamento dos seus dentes, é fazer uso das contenções ( superior e inferior) conforme indicado pelo seu Ortodontista.
Abaixo exemplos de Contenções inferior e superior:


Agendamento
Marque sua consulta através do formulário abaixo.

Voltar
